GunCAD Index Forums
  • Communities
  • Create Post
  • Create Community
  • heart
    Support Lemmy
  • search
    Search
  • Login
  • Sign Up
§ɦṛɛɗɗịɛ ßịⱺ𝔩ⱺɠịᵴŧ@lemmy.ml to Science@lemmy.mlEnglish · 12 days ago

Surface Protein Discovery Reveals How Leukemia Cells Trick the Immune System

medicalxpress.com

external-link
message-square
0
link
fedilink
  • cross-posted to:
  • science@mander.xyz
1
external-link

Surface Protein Discovery Reveals How Leukemia Cells Trick the Immune System

medicalxpress.com

§ɦṛɛɗɗịɛ ßịⱺ𝔩ⱺɠịᵴŧ@lemmy.ml to Science@lemmy.mlEnglish · 12 days ago
message-square
0
link
fedilink
  • cross-posted to:
  • science@mander.xyz
Surface protein discovery reveals how leukemia cells trick the immune system
medicalxpress.com
external-link
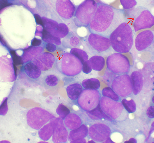
A research team at Lund University in Sweden has discovered a mechanism that helps acute myeloid leukemia cells to evade the body's immune system. By developing an antibody that blocks the mechanism, the researchers could restore the immune system's ability to kill the cancer cells in laboratory trials and in mice. The discovery is published in Nature Cancer.
alert-triangle
You must log in or # to comment.

Science@lemmy.ml

science@lemmy.ml

Subscribe from Remote Instance

Create a post
You are not logged in. However you can subscribe from another Fediverse account, for example Lemmy or Mastodon. To do this, paste the following into the search field of your instance: !science@lemmy.ml

Subscribe to see new publications and popular science coverage of current research on your homepage


Visibility: Public
globe

This community can be federated to other instances and be posted/commented in by their users.

  • 80 users / day
  • 146 users / week
  • 192 users / month
  • 192 users / 6 months
  • 1 local subscriber
  • 17.8K subscribers
  • 68 Posts
  • 44 Comments
  • Modlog
  • mods:
  • MinutePhrase@lemmy.ml
  • BE: 0.19.13
  • Modlog
  • Legal
  • Instances
  • Docs
  • Code
  • join-lemmy.org